症例実績
case
上下顎前突

15歳 女性

治療概要

動的治療期間2年
費用73万9350円(税込)※料金改定する前の費用です
症状下顎前突
抜歯あり 上下左右第2小臼歯
想定されるデメリット咬合の安定化が難しい。

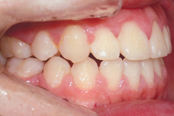
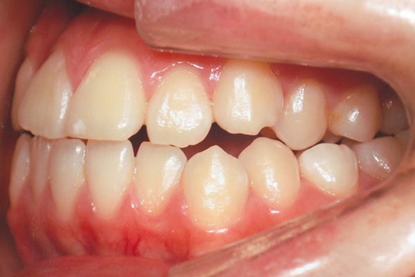
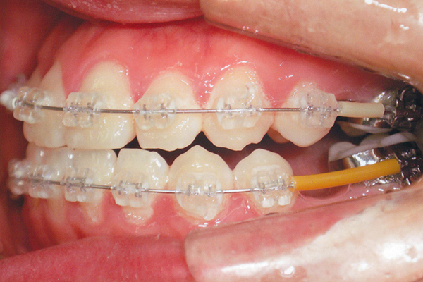
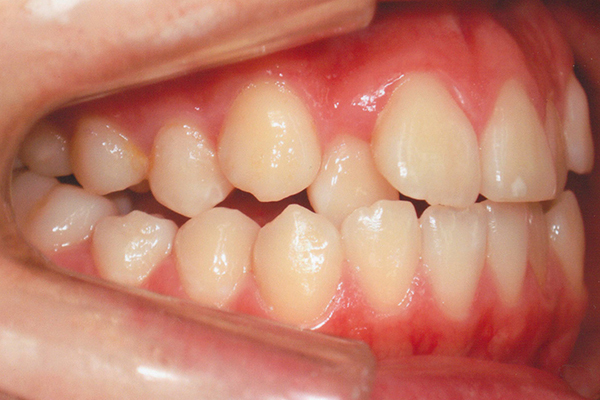
治療経過

治療前

6ヶ月

19ヶ月

完了