難治症例について
Difficult Cases他院で「治療不可」
と言われた方へ
諦める前に、CAT矯正歯科に
ご相談ください。

- 他院で「矯正治療が難しい症例」と言われ、治療を断られてしまった
- 「顎の手術が必要」と診断され、不安で矯正をためらっている
- 顎のズレや噛み合わせの問題を長年抱え、矯正治療をあきらめかけている
- 噛み合わせが悪く食事や発音に支障が出ている
- いびきや睡眠時無呼吸症候群に悩んでいる、改善できるか知りたい
矯正治療を超えた診断も可能です。
前歯・大臼歯の欠損にも
対応可能
Case1 / 前歯2本の欠損
治療前

治療後

| 主訴 | 幼少期の事故による前歯2本の欠損 |
|---|---|
| 治療内容 | 3D-LST矯正治療法を用いて、欠損部分のスペースを適切に調整し、噛み合わせも改善 |
| 患者年代・治療期間 | 20代女性・3年2ヶ月(難治症例) |
Case2 / 第一大臼歯の欠損
治療前

治療後

| 主訴 | 下顎第一大臼歯の欠損による噛み合わせの不安定さ |
|---|---|
| 治療内容 | 3D-LST矯正治療法を用い、抜歯を最小限に抑えながら歯の近心移動を実施。 咬合・顔のプロフィールも改善 |
| 患者年代・治療期間 | 20代女性・3年8ヶ月(難治症例) |
Case3 / 八重歯・ガタガタ
治療前

治療後

| 主訴 | 八重歯・歯のガタつき・顎の不調和による噛み合わせの乱れ |
|---|---|
| 治療内容 | 3D-LST矯正治療法を用い適切に歯を移動。見た目だけでなく、噛みやすさや顎の安定感も向上 |
| 患者年代・治療期間 | 30代男性・4年4ヶ月(難治症例) |
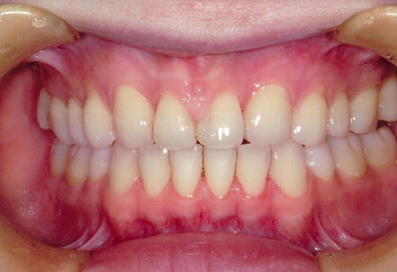
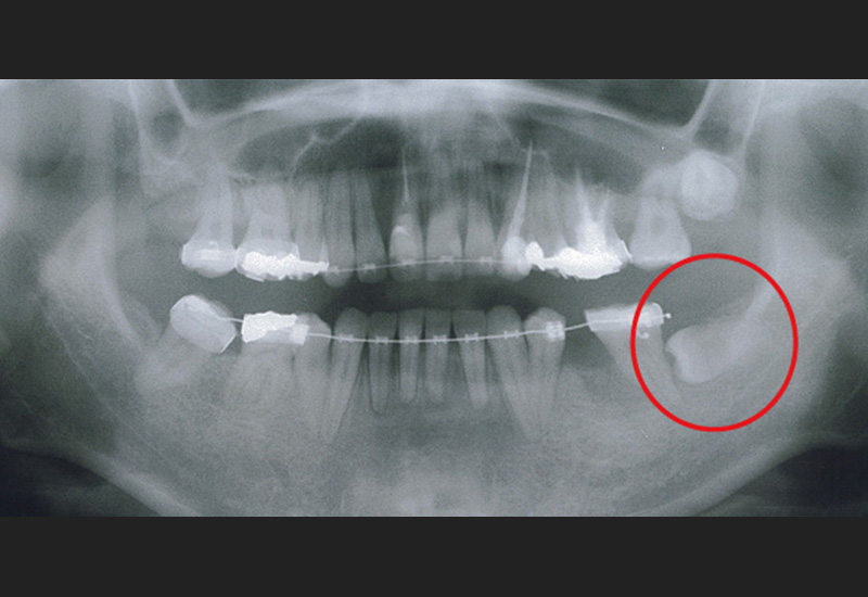
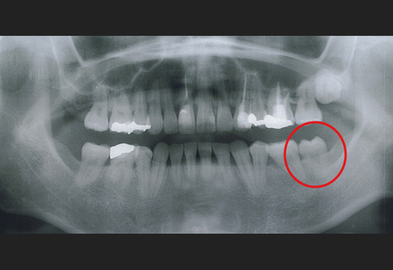
Case4 / 下右第1大臼歯欠損・下右親知らず埋伏
治療前

治療後

| 主訴 | 下右第1大臼歯欠損 下右親知らず埋伏 |
|---|---|
| 治療内容 | 倒れている下右親知らずを起こし、3D-LST矯正治療法を用い奥歯を大胆に移動。 |
| 患者年代・治療期間 | 30代女性・2年4ヶ月(難治症例) |




