MENU
HOME
初めての方へ
よくある質問
費用について
お知らせ
ブログ
名古屋・栄クリニック
東京・水道橋クリニック
長野・松本クリニック
採用情報
歯科医師の方へ
免責事項
プライバシーポリシー
医院一覧・予約
再診・お問い合せ
当院の特長
3D-LSTシステム
CATの特許
Eライン・Sライン矯正
MFT(口腔筋機能療法)について
セファロ分析
歯根吸収のリスク
治療の流れ
現状と問題点
難治症例について
理事長あいさつ
Eライン・Sライン矯正
無料
初回カウンセリング・精密検査
お問い合わせ
症例実績
case
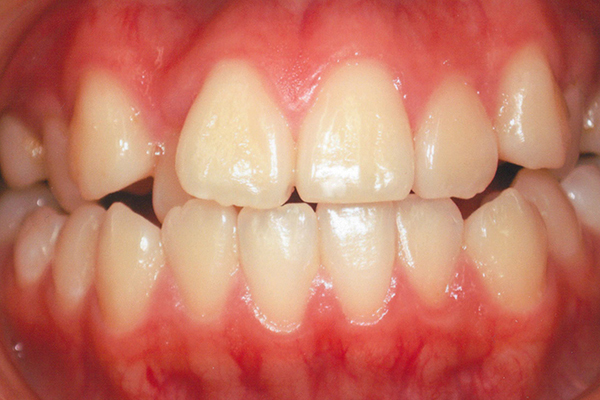
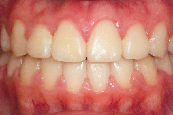
上下顎前突
23歳 女性
詳しく見る
上下顎前突
15歳 女性
詳しく見る
上下顎前突
20歳 女性
詳しく見る
上下顎前突
23歳 女性
上下顎前突、正中離
詳しく見る
カテゴリー
全て
上下顎前突
上顎前突
反対咬合
叢生
特殊なケース
開咬
難治治療について