20代 女性
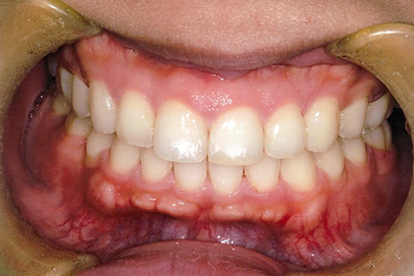
治療概要
| 動的治療期間 | 3年8ヶ月 |
|---|---|
| 費用 | 73万7000円(税込)※料金改定する前の費用です |
| 症状 | 下顎第一大臼歯の欠損 |
| 抜歯 | あり |
| 想定されるデメリット | 臼歯の近心移動が非常に難しい。高度なテクニックが必要である。 3D-LST矯正治療法を用い、抜歯を最小限に抑えながら歯の近心移動を実施。 |
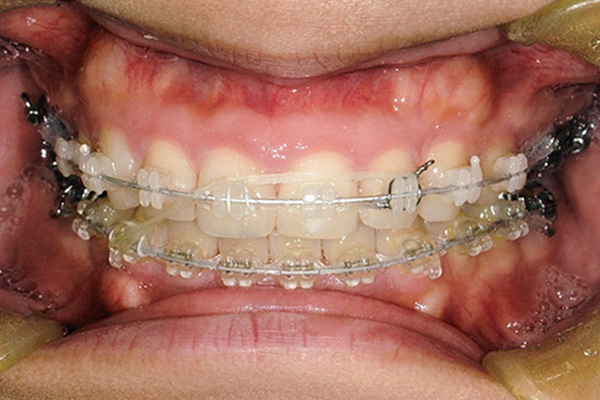
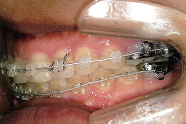
治療経過
治療前



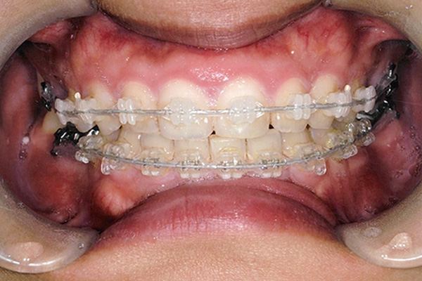
3ヶ月後



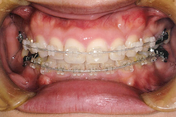
10ヶ月後



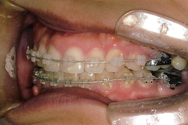
24ヶ月後



42ヶ月後



46ヶ月後



■ レントゲン(治療前)

■ レントゲン(治療後)

| 動的治療期間 | 3年8ヶ月 |
|---|---|
| 費用 | 73万7000円(税込)※料金改定する前の費用です |
| 症状 | 下顎第一大臼歯の欠損 |
| 抜歯 | あり |
| 想定されるデメリット | 臼歯の近心移動が非常に難しい。高度なテクニックが必要である。 3D-LST矯正治療法を用い、抜歯を最小限に抑えながら歯の近心移動を実施。 |



















