MENU
HOME
CATの特長
初めての方へ
特許取得
症例紹介
費用について
よくある質問
医院一覧・予約
Eライン・Sライン矯正
無料
初回カウンセリング・精密検査
お問い合わせ
症例実績
case
特殊なケース
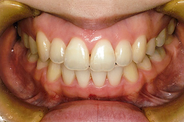
30代 男性
八重歯と二重歯列の治療
詳しく見る
特殊なケース
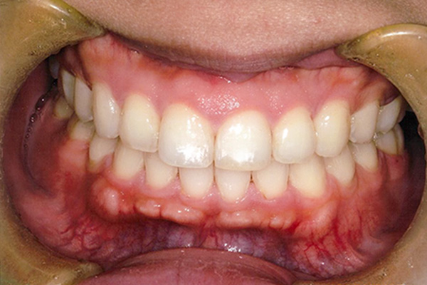
30代 女性
奥歯の移動を伴う噛み合わせの改善
詳しく見る
反対咬合
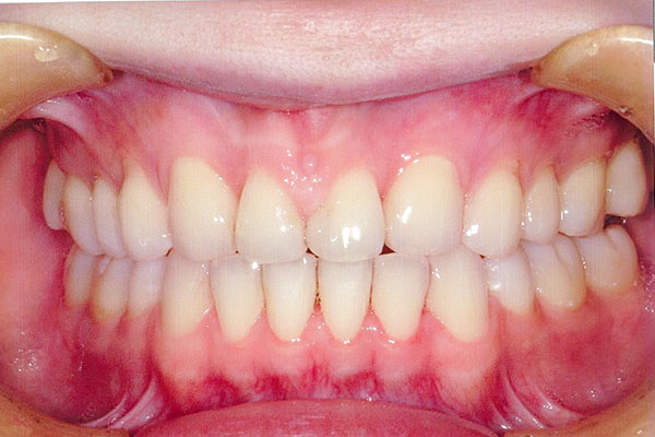
30代 女性
反対咬合+奥歯の移動を伴う症例
詳しく見る
特殊なケース
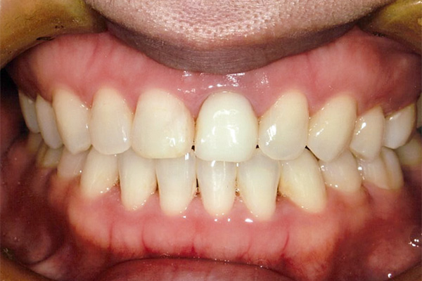
20代 女性
下顎第一大臼歯の欠損による臼歯の近心移動
詳しく見る
特殊なケース
31歳 女性
詳しく見る
特殊なケース
20代 女性
前歯2本の欠損を伴う症例
詳しく見る
特殊なケース
37歳 女性
臼歯の近心移動
詳しく見る
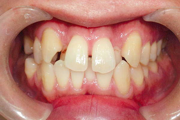
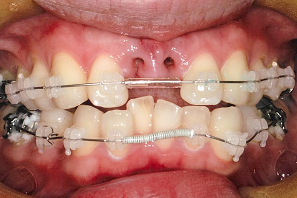
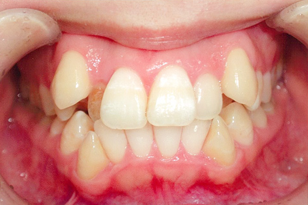
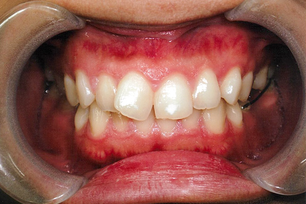
特殊なケース
17歳 男性
詳しく見る
特殊なケース
27歳 女性
詳しく見る
特殊なケース
15歳 女性
詳しく見る
難治症例はこちら
カテゴリー
全て
上下顎前突
上顎前突
反対咬合
叢生
特殊なケース
開咬
難治治療について