MENU
HOME
CATの特長
初めての方へ
特許取得
症例紹介
費用について
よくある質問
医院一覧・予約
Eライン・Sライン矯正
無料
初回カウンセリング・精密検査
お問い合わせ
症例実績
case
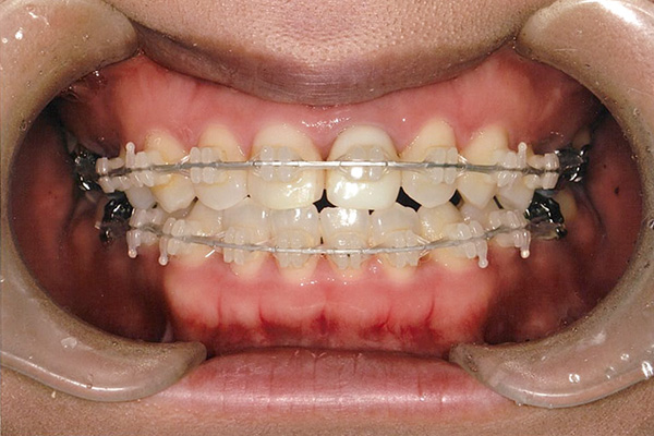
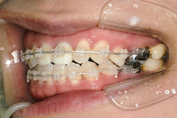
反対咬合
30代 女性
治療概要
動的治療期間
2年1ヶ月
費用
73万7000円(税込)※料金改定する前の費用です
症状
反対咬合
抜歯
あり
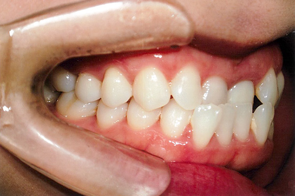
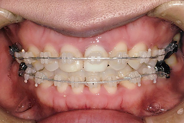
治療経過
治療前
6ヶ月後
1年6ヶ月後
2年1ヶ月
20代 女性
30代 女性