症例実績
case
特殊なケース

30代 女性

治療概要

動的治療期間4年1ヶ月
費用73万7000円(税込)※料金改定する前の費用です
症状開咬+噛み合わせ不具合
抜歯あり

治療経過

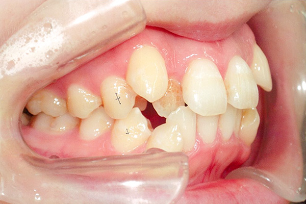
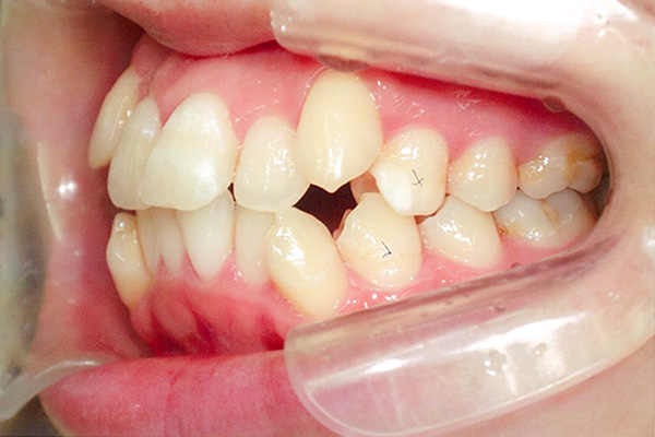
治療前

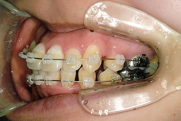
1年4ヶ月後

1年8ヶ月後

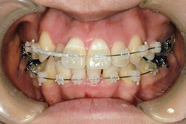
4年1ヶ月後