症例実績
case
特殊なケース

30代 男性

治療概要

動的治療期間4年4ヶ月
費用73万7000円(税込)※料金改定する前の費用です
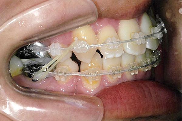
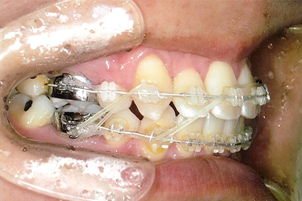
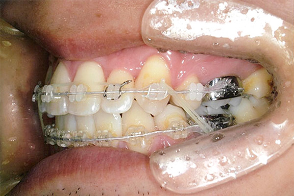
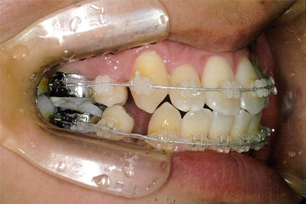
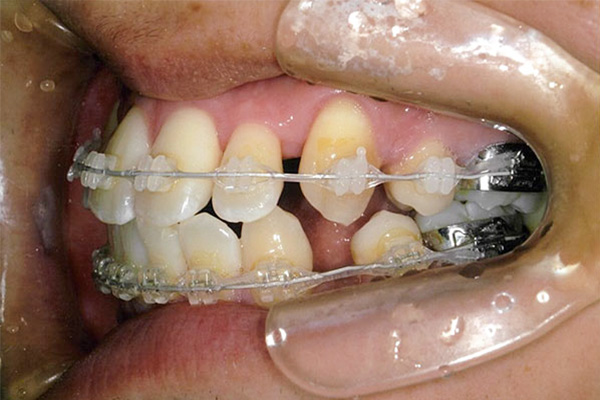
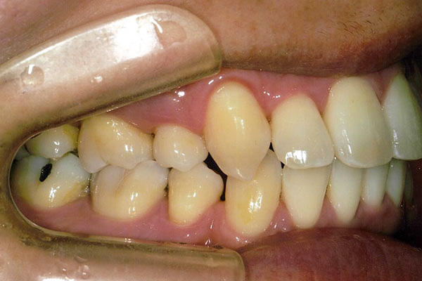
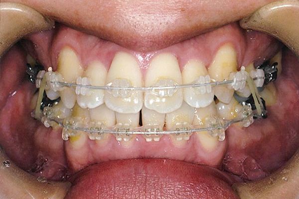
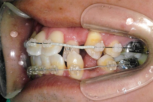
症状八重歯+二重歯列による噛み合わせ不具合
抜歯あり

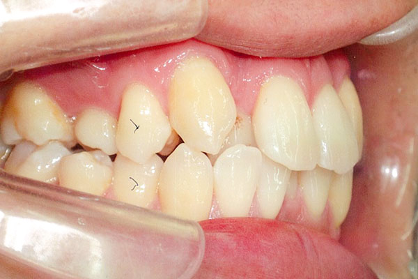
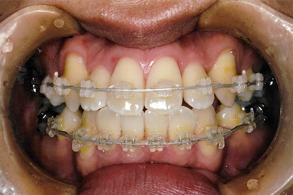
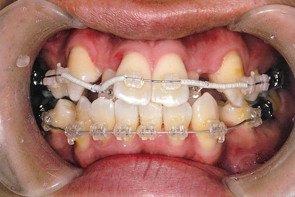
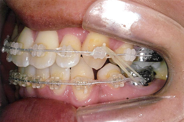
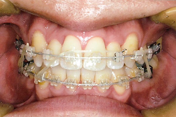
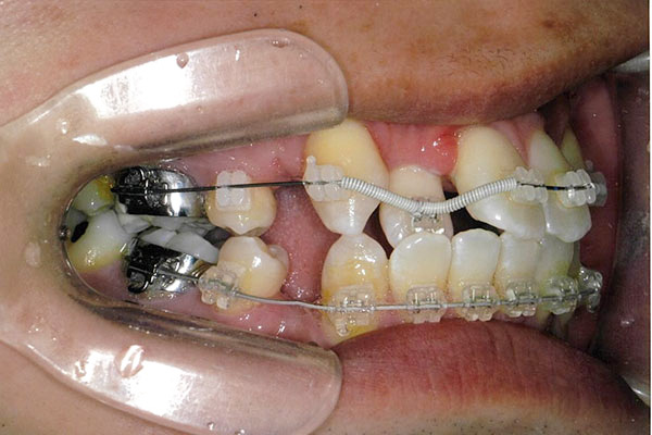
治療経過

治療前

6ヶ月後

1年後

1年5ヶ月後

2年2ヶ月後

3年1ヶ月後

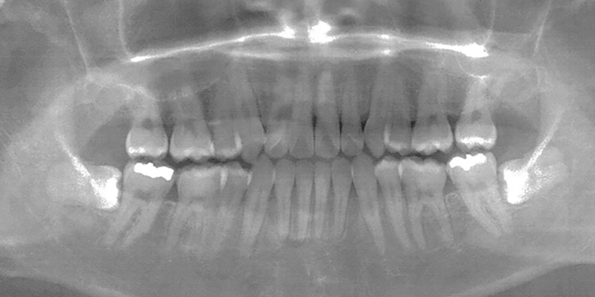
■ レントゲン(治療前)
■ レントゲン(治療後)