症例実績
case
特殊なケース

20代 女性

治療概要

動的治療期間3年2ヶ月
費用73万7000円(税込)※料金改定する前の費用です
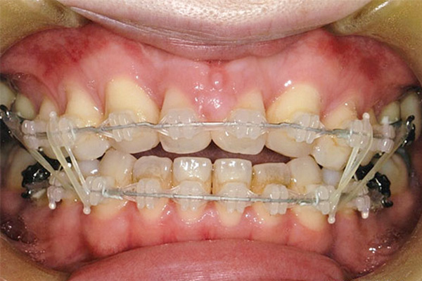
症状前歯2本の欠損
抜歯なし

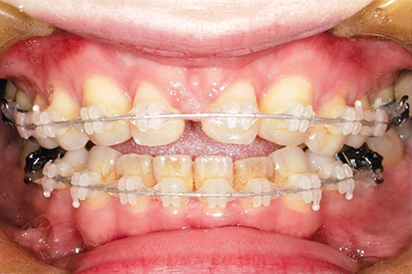
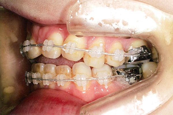
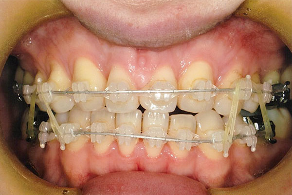
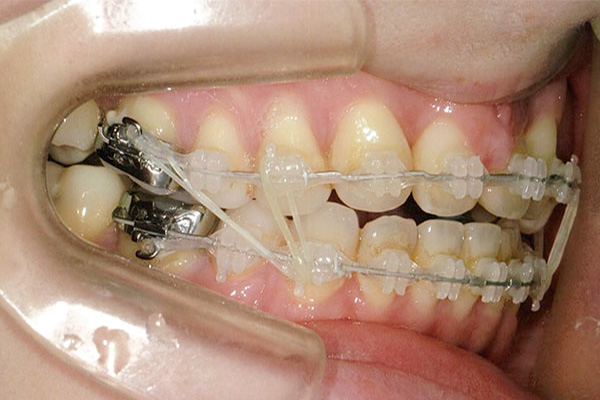
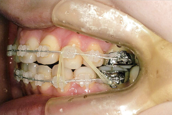
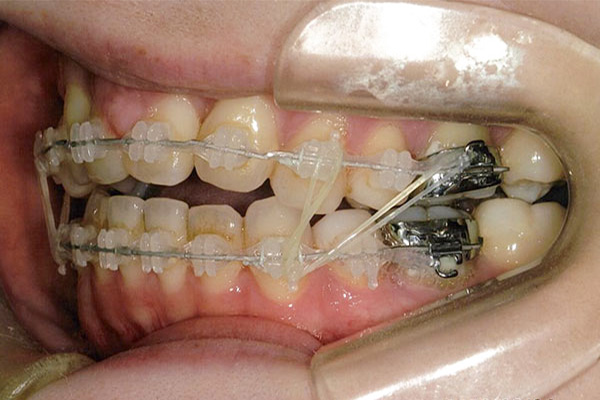
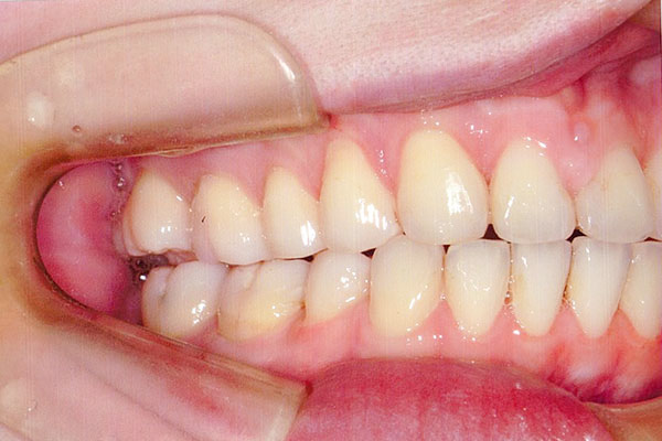
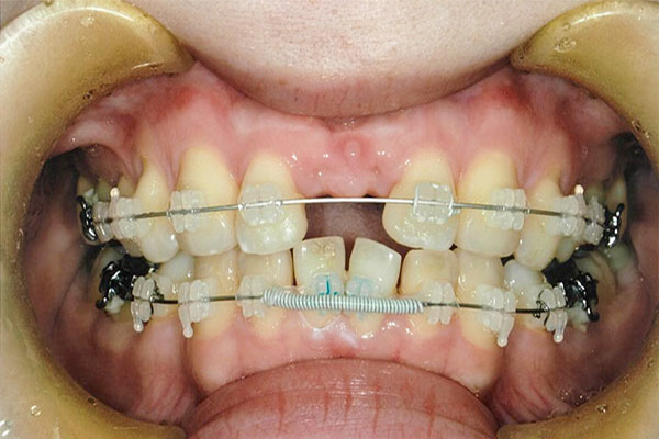
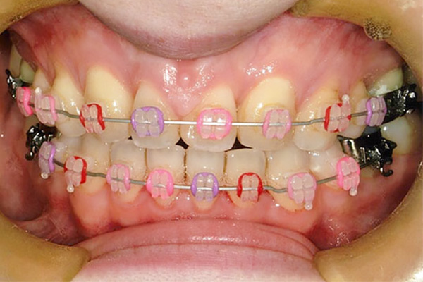
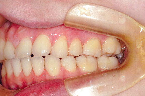
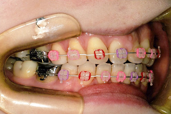
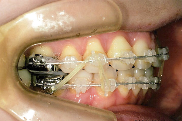
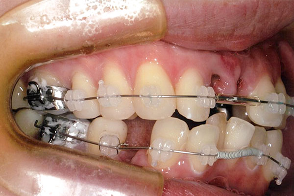
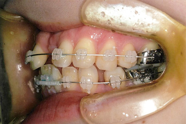
治療経過

治療前

6ヶ月後

1年3ヶ月後

1年6ヶ月後

2年1ヶ月後

2年6ヶ月後

3年2ヶ月後

■ レントゲン(治療前)
■ レントゲン(治療後)